Ariel

Geschlecht:     Katze, kastriert
Geb.datum    September 2017


>> weitere Bilder <<


NOTFALL

Ariel musste operiert werden! Bitte helfen Sie uns mit einer Spende!


Nachdem Kätzchen Ariel zusammen mit ihrem Freund Juno bei uns gelandet war, fiel der Pflegestelle auf, dass Ariel ganz seltsam läuft.
Die Röntgenuntersuchung beim Fachtierarzt für Chirurgie in Weiterstadt ergab, dass bei Ariel eine angeborene Missbildung vorliegt. Der rechte Oberarmknochen hat eine L-Form und zeigt nach hinten. Auch sind die Gelenkflächen nicht normal ausgebildet. Das führt dazu, dass Ariel die rechte Schulter nicht strecken und dadurch nur ganz gebückt laufen kann. Durch diese permanente Fehlhaltung ist leider auch das linke Schultergelenk luxiert (der Oberam luxiert nach außen und vorne). Ariel hat eine ganz schiefe Rückenlinie und die Prognose wäre nicht gut, wenn man nichts tut.....
Das bedeutet, es müssen tatsächlich beide Seiten im Abstand von ca. sechs Wochen operiert werden, damit Ariel in Zukunft aufrecht und schmerzfrei laufen kann.

Die kleine verschmuste Maus ist so tapfer, inzwischen hat sie bereits beide OPs gut überstanden. Bei der ersten OP wurde die Biegung im Oberarm herausgeschnitten und der Oberarm in gestreckter Position mit einer Platte befestigt. Die Röntgenkontrolle hat gezeigt, dass der Knochen schon gut verheilt ist, Ariel kann damit sogar schon wieder ganz gut laufen. So konnte also auch schon die zweite OP stattfinden, bei der ihr luxiertes linkes Schultergelenk in eine normale Position gebracht und die Bänder gestrafft wurden.

Dieser Eingriff war komplizierter als im Vorfeld angenommen und Ariel musste über Nacht in der Praxis bleiben. Zudem muss die tapfere kleine Dame wieder einen Body erdulden, damit sie sich nicht selbst die Fäden zieht. Die ersten zwei Tage nach der OP wirkte Ariel noch sehr mitgenommen und sie benötigte ganz viel Zuwendung, Fürsorge und Aufmerksamkeit. Dann ging es langsam bergauf. Mittlerweile belastet sie beide Vorderbeine und stapft bei überwachten Spaziergängen außerhalb ihrer Box vorsichtig, aber neugierig, durch das Zimmer. Am liebsten liegt klein Ariel jedoch in den Armen ihrer Pflegemama und fängt hier auch bereits zaghaft an, mit Bändeln zu spielen, wobei sie dabei beide Vorderbeine einsetzt.

Laut behandelndem Tierarzt sind die Operationen erfolgreich verlaufen. Nun muss Ariel erneut für 4–6 Wochen in ihrem kleinen Gehege leben, damit die Knochen Ruhe zum Heilen haben. Dann hat es die kleine Lady geschafft und ist bereit für den Umzug in ihre eigene Familie.

Es gingen bereits einige Spenden ein, von denen wir die erste Rechnung, die sich auf 1.100 Euro belief, schon komplett begleichen konnten! Ein DICKES DANKESCHÖN an alle Unterstützer! Es kann nicht oft genug gesagt werden: Wir aktiven Helfer könnten uns noch so sehr ins Zeug legen, ohne unsere Spender könnten wir nur halb so viel erreichen!

Jetzt steht also noch die Rechnung für die zweite OP aus und dafür wird mindestens noch einmal der gleiche Betrag fällig. Wir benötigen also weiterhin dringend finanzielle Unterstützung!

 

Wenn Sie uns mit einer Spende helfen wollen, geben sie bitte bei der Überweisung den
Verwendungszweck "Notfallkatze Ariel" an! Herzlichen Dank an alle Spender!

Tierschutzverein Santorini e.V.
Spendenkonto:  Sparkasse Mainz   BLZ  55050120   Konto 22000681  

IBAN:   DE81 5505 0120 0022 0006 81
SWIFT-BIC:   MALADE51MNZ



Ariels Vorgeschichte:
Die hübsche Ariel wurde als kleines Baby, ganz alleine ausgesetzt, von Touristen in Santorini gefunden und gerettet. So kam sie in die Obhut unseres Partnervereins Sterila.

Ariel ist absolut fantastisch. Sie sticht heraus, gewinnt jedes Herz, ist total anhänglich, sanftmütig und verschmust. Sie ist eher eine ruhige Schmusekatze. Ariel (wie auch Juno) sind einfach dermaßen vertraut mit Menschen und haben absolut keine Ängste, daher konnten die Mädels von Sterila sie nicht wieder frei lassen nach der Kastration. Sie hätten auf der Straße bestimmt nicht lange überlebt. Die Tierschützer vor Ort haben so gekämpft und gehofft, dass sie die beiden als Babies durchbringen. Jeder Helfer war sofort verliebt in Juno und Ariel. Sie umgarnen einen mit viel Liebe und Charme.

Bei solch einer Beschreibung konnten wir einfach nur unsere Hilfe anbieten und deshalb durften Ariel und Juno gemeinsam zu uns nach Deutschland ausreisen. Sie warten nun bei unserer Pflegestelle in Idstein auf ein liebevolles Zuhause.



Haben Sie Interesse an dieser Katze?
Dann füllen Sie bitte über den nachstehenden Button "Vermittlungsanfrage" das Formular aus. Wir werden uns anschließend telefonisch mit Ihnen in Verbindung setzen.

Lesen Sie bitte auch unsere "Infos zur Vermittlung", da dort bereits viele Ihrer möglichen Fragen beantwortet werden.

 

   

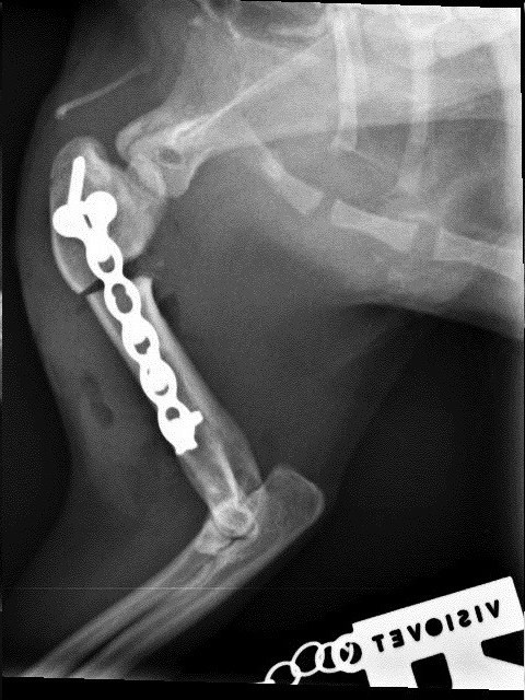
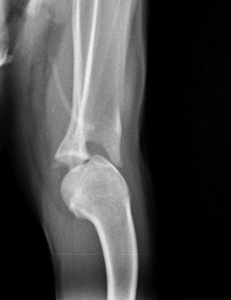
Ariels deformierter rechter Oberarmknochen, der eine L-Form hat und nach hinten zeigt:

 
Direkt nach der OP:
 
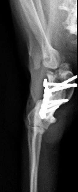
...und schon fast verheilt!
 
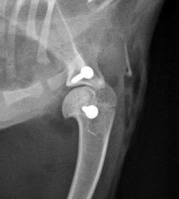
Ihr linkes luxiertes Schultergelenk vor und nach der OP:
 
 
Die tapfere Maus nach der ersten OP!
 
Und hier nach der zweiten:
 
 
Ariel noch in Santorini

 

 

 

 

 
 

 

 

<< zurück zur Beschreibung >>

<< zurück zur Übersicht >>